
结肠癌和直肠癌,统称为结直肠癌,具有许多相似的特征,在本节将作为一种癌症类型进行讨论。
结直肠癌是目前在男女性中第三个最常见的癌症。1980年以来的发病率和死亡率一直在下降,部分原因是由于在筛查和预防的改进。在2016年,据美国癌症协会估计,美国将诊断出大约95,270新病例和将有49,190人死于结直肠癌。1
以下是本节中的信息列表:
解剖学
结肠和直肠是消化系统或胃肠(GI)系统的一部分。该系统的目的是分解食物,吸收营养和水,并从身体中排泄废物。
食物大部分在胃里分解,然后释放到小肠,绝大部分食物中的营养物质被吸收在消化系统的这个区域。被消化的食物从小肠继续进入结肠,或大肠。大肠被分成4个区域(基于位置的不同):升结肠,横结肠,降结肠,和乙状结肠。

结肠的主要目的是从食品物质中吸收水和矿物养分以及储存废物。废物从结肠移动到消化系统的最后6英寸,称为直肠,并通过肛门流出身体。
约95%的结直肠癌发生在构成结肠和直肠内壁的腺细胞。2 从腺细胞开始的癌症称为腺癌。癌症通常开始于内壁的最内层,并慢慢地穿过其他层。下图是结肠层的横截面图。

风险因素
可能会影响发展结直肠癌的危险因素包括:3
- 结直肠癌家族史
- 慢性炎症性肠病的个人病史
- 年龄
- 富含红色或加工肉类的饮食
- 过量饮酒
- 肥胖症
- 缺乏体力活动
- 吸烟
这些和其他风险因素在任何特定癌症病例中的相对影响是可变的,并且此时很难准确确定。以下部分将讨论其中一些和其他风险因素。
观看一个关于结肠癌预防和治疗的视频链接,请按这里观看Roberd Bostick博士的访问.
结直肠癌家族史
结直肠癌症病例可以分为两大类,零星的和家族的。零星的癌症是那些受影响的个体不具有该疾病的已知的家族病史。家族性癌症往往发生在一个家庭的几代人中,受影响的人通常具有相同癌症类型的近亲(兄弟,姐妹,父亲)。可能的是这些个体继承了导致特定癌症类型发展的有缺陷基因。具有结直肠癌家族史的个体患该疾病的风险增加。风险的程度取决于受影响的亲属类型。例如,如果直系亲属被诊断患有结肠直肠癌,风险会更高。一个人与结直肠癌患者的关系越密切,他们就越有可能共享有缺陷的基因。遗传性结直肠癌约占所有大肠癌病例的5%。4
两种主要的大肠癌易感综合征称为家族性腺瘤性息肉病(FAP)和遗传性非息肉病性结直肠癌(HNPCC):
家族性腺瘤性息肉病(FAP):结肠或直肠内壁的异常生长称为息肉。息肉的常见类型包括腺瘤性息肉(腺瘤),增生性息肉和炎性息肉。增生性和炎性息肉通常不会造成问题。然而,腺瘤性息肉可以进展为癌症。5
FAP是由APC(腺瘤性息肉病)基因突变引起的综合征。患有这种突变的人会沿结肠和直肠发展成百上千的腺瘤性息肉。如果不及时治疗,这些息肉中的一个或多个很可能进展为癌症。5这些个体的平均癌症发病年龄为40岁。6在筛查过程中可以检测并去除腺瘤性息肉。
APC基因将在结直肠癌肿瘤生物学这个部分讨论,这部分信息和更多资讯可以查找癌症基因页面。

家族性腺瘤性息肉病:结肠粘膜表面覆盖着许多早期腺瘤。 (图片由以下人员提供:C.Whitaker Sewell,医学博士-埃默里大学医学院病理学教授)
遗传性非息肉性大肠癌 (HNPCC): HNPCC,也称为Lynch综合征,是由编码参与DNA修复的蛋白质的基因突变引起的综合征,特别是MLH1和MSH2基因。7HNPCC的特征包括癌症发展的平均年龄在45岁,癌症的发生区域位于近端结肠,以及增加了位于结肠外的某些癌症发展的风险。8HNPCC与结肠或直肠息肉的存在无关。
该MLH1和MSH2错配修复基因将在结直肠癌肿瘤生物学这个部分讨论。
年龄
对于迄今为止研究的几乎所有类型的癌症,似乎从正常健康细胞向癌细胞的转变是逐步进展的,其需要几种不同癌基因和肿瘤抑制因子的遗传改变。这就是为什么癌症在老年人中更为普遍的一个原因。为了产生癌细胞,必须在同一细胞中发生一系列突变。由于任何基因发生突变的可能性都非常低,因此有理由认为,在同一细胞中发生几种不同突变的可能性确实非常小。因此,在一个70岁身体中的细胞有更多时间来积累形成癌细胞所需的变化,但在儿童体内的细胞不太可能获得所需的变化。当然,有些孩子也患上癌症,但它是在老年人更常见。超过91%的患者在50岁以上被诊断患有结肠直肠癌。3下图显示了美国结肠癌发病率与年龄的关系。该图来自国家癌症研究所。9

饮食因素
结肠癌的发病率与某些生活方式因素(包括饮食)密切相关。然而,确定导致特定癌症的饮食项目是非常困难的。研究表明,慢性酗酒与低叶酸摄入量与结直肠癌的风险增加存在相关性。10 另一方面,一些饮食因素与结直肠癌风险降低有关。研究表明,富含水果和蔬菜的饮食可以对疾病提供保护作用。11钙也被认为可能起到一定的保护作用。对实验动物的研究表明,钙可以结合脂肪酸和胆汁和减少对构成结肠内壁细胞的有害影响。12 这些饮食因素对结直肠癌风险的影响仍然是一个争议的话题。
肥胖
一些研究发现体重指数(BMI)增加与结直肠癌风险之间存在关联。然而,这种关联在男性中比在女性中更为一致。这种差异可能是由女性激素雌激素的作用引起的,雌激素被认为对结直肠癌具有保护作用。女子高体重指数往往比女性低体重指数有较高的雌激素水平。较高雌激素水平可能会抵消升高的体重指数的负面影响。13
抽烟
研究发现,吸烟与结肠和直肠增生性息肉数量的增加有关。虽然大多数情况下没有,但是增生性息肉有时可能发展成结直肠癌。烟草和增生性息肉之间的联系似乎更多地取决于吸烟最近发生的时间而不是吸烟的持续时间。14
肠癌的预防
有证据表明,服用非甾体抗炎药(NSAID),如阿司匹林,可以减少结肠癌和直肠癌的发展,但由于服用NSAIDs与出血风险的增加有关,美国预防服务工作组(2007年)发表了他们反对常规使用NSAIDs预防结直肠癌的的建议。3根据2013年美国癌症协会的报告,食用牛奶和钙以及血液中维生素D的水平升高似乎也可以降低结直肠癌的风险。15
症状
症状
通常早期结直肠癌没有相关的症状。美国癌症协会列出了以下与晚期结直肠癌相关的症状:3
- 直肠出血
- 血便(根据肿瘤的位置可以是亮红色或黑色)
- 排便习惯的改变
- 结直肠区域痉挛
- 失血引起的贫血
- 虚弱和疲劳
- 食欲下降或体重减轻
虽然这些症状可能由无关肠癌的因素造成的,但寻求医疗关注以排除癌症是非常重要的。
检测和诊断
几种结直肠癌(CRC)筛查方案的最新发展推进了复合指引和建议的发展。测试有许多不同的可能组合,但是CRC筛查是一种癌症预防工具,许多人可能不会使用它。对某些程序的负面看法和最近测试的应用可能使它们看起来没有吸引力和/或不必要。16 在美国结直肠癌是导致癌症死亡的第二大原因。结直肠筛查癌既是必要的,也是有益的。结直肠癌的高危人群应早于常规风险人群开始筛查。诊断后有几种治疗选项。
美国癌症协会的国家指南建议,正常风险的50岁及以上人群应定期进行筛查,并有以下选择:17
识别息肉和癌症的检测技术:
- 每5年进行一次乙状结肠镜检查,或
- 每10年进行一次结肠镜检查,或
- 每5年进行一次双重对比钡灌肠,或
- 每5年进行一次CT结肠成像(虚拟结肠镜检查)
筛选的方法主要是查出癌症18
- 直肠指检
- 每年进行粪便潜血试验(FOBT)
- 每年进行粪便免疫化学试验(FIT)
- 粪便DNA检测(sDNA测试)的时间间隔不确定
结肠癌检测:高危人群
那些因肠道疾病或家族病史而患结肠癌风险较高的患者应该更频繁和更早地进行筛查。CRC在某些家庭中运行,但并不总是有与疾病传播相关的已确定的基因突变。另一方面,几种形式的家族性结直肠癌与特定的突变有关。这些疾病往往发生在较早的年龄。有几种综合征属于这一类。例如,家族性腺瘤性息肉病(FAP)导致许多结肠息肉的形成,通常为数百个。这些息肉中的任何一个都有可能癌变。由于患有这种综合征的癌症风险极高,因此具有该家族病史的患者应在青春期开始筛查。可以进行预防性手术以防止癌症形成。
遗传性非息肉性结直肠癌(HNPCC)是另一种遗传性疾病,使个体极有可能患结肠癌。该综合征仅导致少数息肉的形成,但它们发生在很小的年龄。建议从家庭中最年轻人员的CRC诊断时间往前10岁或25岁开始,每1-2年对诊断为该综合征的人进行一次筛查。发生CRC风险增加的其他综合征是Peutz-Jeghers综合征,青少年息肉病和Cowden综合征。测试这些综合症可能会产生财务和心理影响。与遗传咨询师协商可为患者提供可用的选择。18
病理报告和分期
病理报告
如果怀疑患者可能患有结肠直肠癌,可以采取组织样本(活组织检查)进行检查。进行活组织检查后,进行活组织检查的医生将标本发送给病理学家。病理学家在宏观(肉眼可见)和微观(需要放大)水平检查标本,然后向医生发送病理报告。该报告包含有关组织外观,细胞组成以及样品是否正常或异常的信息。有关病理报告的更多信息,请参阅诊断和检测 部分。

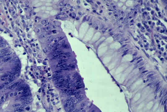
在结肠腺瘤腺体内出现的腺癌:注意恶性细胞非常暗的染色,以及细胞内各级细胞核的存在。比较腺瘤细胞(腺体顶部)和癌细胞(腺体底部)(图片由以下人员提供:C.Whitaker Sewell,医学博士-埃默里大学医学院病理学教授)。
分期
癌症分期是说明疾病程度的一种方法。用于结肠直肠癌分期的最常用方法之一称为T/N/M系统,该系统基于癌症在体内的大小,位置,和扩散情况来判断癌症的严重程度。其他不太广泛使用的结直肠癌分期方法是Dukes系统和Astler-Coller系统。T/N/M系统的详细信息可以在诊断与检测部分找到。
有关癌症分期的更多详细信息,请访问国家综合癌症网。
肿瘤生物学
特定基因的突变(也称为表观遗传修饰)改变癌细胞的行为。遗传改变导致由基因产生的蛋白质产物的量和/或类型(基因表达)的变化。随着变化的积累,细胞变得更加异常和向着癌症进展。更多基因变化的详情,可以查询突变页面。一些已被证明在结直肠癌发展中起重要作用的基因将在下面讨论:
- APC基因
- TP53基因
- MSH2和MLH1基因
- K- RAS基因
APC基因
APC(腺瘤性息肉病)是一种肿瘤抑制基因,在细胞信号传导中起作用。APC基因突变被认为是腺瘤初始形成的重要步骤。19遗传的APC突变会导致家族性腺瘤性息肉病(FAP),这种疾病的特征是沿结肠内壁生长成百上千的息肉。
了解更多关于APC和肿瘤发展
了解更多关于家族性腺瘤性息肉病(FAP)

右半结肠获得性腺瘤:两个较大的病变已经发展出将息肉的肿瘤“头部”连接到粘膜表面的茎。带有茎的息肉被称为“带蒂”。
(图片由以下人员提供:C.Whitaker Sewell,医学博士-埃默里大学医学院病理学教授)

结肠带蒂腺瘤:息肉的浆果状“头部”是肿瘤部分;长茎由正常组织组成,并包含血液供应。(图片由以下人员提供:C.Whitaker Sewell,医学博士-埃默里大学医学院病理学教授)

带蒂腺瘤的低倍显微图像:息肉头部较暗的染色细胞代表突变的肿瘤细胞;茎由正常的结肠粘膜内壁组成,并含有血管供应。(图片由以下人员提供:C.Whitaker Sewell,医学博士-埃默里大学医学院病理学教授)
TP53基因
TP53是编码蛋白质产物p53的肿瘤抑制基因。TP53是结直肠癌中最常见的突变之一,与化疗的耐药性和生存期较差有关。20
hMSH2的基因和hMLH1基因基因蛋白基因
大约15%的结直肠癌是由于非功能性错配修复(MMR)基因,特别是hMSH2和hMLH1基因而发展的。20当功能时,这些基因检查DNA以确保所有碱基对正确匹配。MMR基因表达的变化是由DNA突变以及表观遗传变化引起的,这些变化会改变基因的活性而不会改变实际的DNA序列。MMR功能的丧失增加了特定DNA序列对突变的敏感性,这种情况被称为微卫星不稳定性或MSI。21
K- RAS基因
K-RAS是一组称为RAS基因家族的基因成员。这些基因编码在细胞信号传导和分裂中起重要作用的蛋白质。K-RAS是结直肠癌中最常见的突变癌基因之一。22
治疗
结直肠癌的治疗可细分为两类:早期和晚期。早期治疗涉及局限于结肠或直肠的肿瘤。晚期治疗涉及已经扩散到身体其他部位的肿瘤,治疗方案取决于肿瘤的大小,位置,患者的身体状况和肿瘤的阶段。
由于我们的重点是癌症的生物学及其治疗,我们不给予详细的治疗指南。相反,我们链接到生成治疗指南的美国组织。
国家综合癌症网络(NCCN)包括以下结肠癌的治疗方案:
国家综合癌症网络(NCCN)包括以下直肠癌的治疗方案:
了解更多关于这些和其他癌症的治疗工作的信息,请参阅癌症治疗部分。
有关临床试验的信息:
结肠癌资源
本节小结
介绍
- 在美国,结直肠癌是男女性第三大最常见的癌症。
- 约95%的结肠直肠癌发生在内壁的腺细胞中。
风险因素
- 遗传基因在结直肠癌的形成中起重要作用。
- 两种主要的结直肠癌易感综合征称为家族性腺瘤性息肉病(FAP)和遗传性非息肉病性结直肠癌(HNPCC)。
- 超过90%的结直肠癌患者的年龄在50岁以上。
- 一个人的饮食可以增加或减少患结肠癌的风险。
- 肥胖和吸烟增加结直肠癌的风险。
症状
- 通常,早期结直肠癌是无症状的。
- 晚期阶段可导致直肠出血,便血,排便变化和下腹部痉挛性疼痛。
病理报告和分期
- 组织活检可以检查组织的外观,细胞结构和异常。
- T/N/M系统是用于结直肠癌分期的最常用的方法之一。
- T/N/M系统基于肿瘤的大小,位置,以及扩散情况来判断严重程度。
肿瘤生物学
- 癌症发生很多基因变化。详细信息可以查询突变部分。
- 结直肠癌中最常见的突变之一发生在APC基因中,该基因是一种肿瘤抑制因子,在细胞信号传导中起作用。
治疗
- 早期治疗涉及局限于结肠或直肠的癌症。
- 晚期治疗涉及已扩散到结肠或直肠之外的肿瘤。
- 治疗可以包括:手术,放疗,化疗,和免疫治疗。
- 1 American Cancer Society. Cancer Facts & Figures 2016. Atlanta: American Cancer Society; 2016. [http://www.cancer.org/acs/groups/content/@research/documents/document/acspc-047079.pdf]
- 2 What is Colorectal Cancer? American Cancer Society. (Accessed October 2010) [http://www.cancer.org/Cancer/ColonandRectumCancer/DetailedGuide/colorectal-cancer-what-is-colorectal-cancer]
- 3abcd Cancer Facts and Figures 2013. American Cancer Society. [http://www.cancer.org/acs/groups/content/@epidemiologysurveilance/documents/document/acspc-036845.pdf]
- 4 Bodmer WF. "Cancer genetics: colorectal cancer as a model." Journal of Human Genetics (2006); 51(5):391-6 [PUBMED]
- 5ab Galiatsatos P, Foulkes WD. "Familial adenomatous polyposis." American Journal of Gastroenterology (2006); 101(2):385-98 [PUBMED]
- 6 Plawski A, Nowakowska D, Podralska M, Lipinski D, Steffen J, Slomski R. "The AAPC case, with an early onset of colorectal cancer." Int J Colorectal Dis (2006) May 19; [Epub ahead of print] [PUBMED]
- 7 Bandipalliam P. "Syndrome of early onset colon cancers, hematologic malignancies & features of neurofibromatosis in HNPCC families with homozygous mismatch repair gene mutations." Familial Cancer (2005); 4(4):323-33 [PUBMED]
- 8 Luo DC, Cai Q, Sun MH, Ni YZ, Ni SC, Chen ZJ, Li XY, Tao CW, Zhang XM, Shi DR. "Clinicopathological and molecular genetic analysis of HNPCC in China." World Journal of Gastroenterology (2005);11(11):1673-1679 [PUBMED]
- 9 Surveillance, Epidemioloy, and End Results (SEER) represented by National Cancer Institute [http://seer.cancer.gov]
- 10 Seitz HK, Maurer B, Stickel F. "Alcohol consumption and cancer of the gastrointestinal tract." Digestive Diseases (2005);23(3-4):297-303 [PUBMED]
- 11 Powers, HJ. "Interaction among folate, riboflavin, genotype, and cancer, with reference to colorectal and cervical cancer." J Nutr (2005);135(12 Suppl.):2960S-2966S [PUBMED]
- 12 Ahmed FE. "Effect of diet, life style, and other environmental/chemopreventive factors on colorectal cancer development, and assesssment of the risks." Journal of Environmental Science and Health (2004); 22(2)91-147 [PUBMED]
- 13 Doria-Rose VP, Newcomb PA, Morimoto LM, Hampton JM, Trentham-Dietz A. "Body mass index and the risk of death following the diagnosis of colorectal cancer in postmenopausal women (United States)." Cancer Causes Control (2006);17(1):63-70 [PUBMED]
- 14 Ji BT, Weissfeld JL, Chow WH, Huang WY, Schoen RE, Hayes RB. "Tobacco smoking and colorectal hyperplastic and adenomatous polyps." Cancer Epidemiol Biomarkers Prev (2006); 15(5):897-901 [PUBMED]
- 15 Routine Aspirin or Nonsteroidal Anti-inflammatory Drugs for the Primary Prevention of Colorectal Cancer: U.S. Preventive Services Task Force Recommendation Statement. Annals of Internal Medicine. 2007 Mar;146(5):361-364. [http://www.uspreventiveservicestaskforce.org/uspstf/uspsasco.htm]
- 16 Lemon S, Zapka J, Puleo E, Luckmann R, Chasen-Taber L. "Colorectal Cancer Screening Participation: Comparisons with Mammography and Prostate-Specific Antigen Screening." American Journal of Public Health (2001). 91(8): 1264-1272. [PUBMED]
- 17 Levin B, Lieberman DA, McFarland B, Smith RA, et al. "Screening and Surveillance for the Early Detection of Colorectal Cancer and Adenomatous Polyps, 2008: A Joint Guideline from the American Cancer Society, the US Multi-Society Task Force on Colorectal Cancer, and the American College of Radiology". CA Cancer J Clin 2008. E-pub ahead of print as of: March 13 2008. [PUBMED]
- 18ab Colorectal Screening Methods. Cancer Research Foundation of America (2002). [http://www.preventcancer.org/colorectal/aboutcolorectal/about_screening.cfm]
- 19 Kaneko K, Kurahashi T, Makino R, Konishi K, Ito H, Katagiri A, Kumekawa Y, Hirayama Y, Yoneyama K, Kushima M, Kusano M, Tajiri H, Rembacken BJ, Mitamura K, Imawari M. "Pathological features and genetic alterations in colorectal carcinomas with characteristics of nonpolypoid growth." British Journal of Cancer (2004); 91(2):312-8 [PUBMED]
- 20ab Popat S, Wort R, Houlston RS. "Inter-relationship between microsatellite instability, thymidylate synthase expression, and p53 status in colorectal cancer: implications for chemoresistance." BMC Cancer (2006); 6(1):150 [PUBMED]
- 21 Oda S, Zhao Y, Maehara Y. "Microsatellite Instability in Gastrointestinal tract cancers: a brief update." Surg Today (2005); 35(12):1005-15 [PUBMED]
- 22 Barry EL, Baron JA, Grau MV, Wallace K, Haile RW. "K-ras mutations in incident sporadic colorectal adenomas." Cancer (2006); 106(5):1036-40 [PUBMED]